Медицинския консультация: Какая может быть причина??? Элла

Пациент: Элла
07 окт 2015 в 18:12

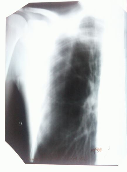
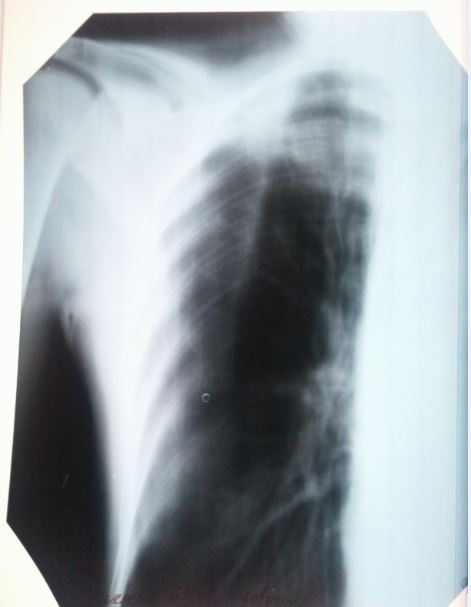
Здравствуйте,еще раз. Как сказала врач, в направлении там где написано " диагноз " - это то что показывают снимки.

Пациент: <Элла
07 окт 2015 в 18:12

Пациент: <Элла
07 окт 2015 в 18:16

Пациент: <Элла
07 окт 2015 в 18:16

Пациент: <Элла
07 окт 2015 в 18:16

Пациент: <Элла
07 окт 2015 в 18:17

Пациент: <Элла
07 окт 2015 в 18:23

Как еще врач говорит. По анализам все хорошо , по диаскинтест - отрицательно. Видимых симптомов нет , при осмотре-прослушивании тоже все хорошо. Как тогда может быть такой диагноз? Нет ни температуры.ни отдышки,ни головной боли,вес не теряла,не худела резко,в семье ни у кого такого не было.на учете не состояла. просто как так может быть что по снимкам развие " болезни " есть , а по анализам и тесту нет ?

Доктор: И. Орлова
08 окт 2015 в 01:28

Здравствуйте. Да, действительно случаи бывают разные. Тем и коварен уберкулез, что распознать его удается не всегда, и симптомов явным может не быть, и анализы могут не показывать всей картины. Но диагноз врач выставил на законных основаниях - изменения в легких типичны для туберкулеза. Консультируйтесь в областном центре, можно также сделать КТ (компьютерную томографию), ведь этот метод более точен, чем рентген.

Внимание!!! Консультация на тему "Какая может быть причина??? Элла" дается исключительно в справочных целях. По итогам полученной консультации, пожалуйста, обратитесь к врачу, в том числе для выявления возможных противопоказаний.

Оставить отзыв

Чтобы ответить на консультацию Вам необходимо авторизоваться либо зарегистрироваться.


  • Сайт детского здоровья