Туберкулез легких
Содержание:
см. также:
Описание:
Название заболевания туберкулез произошло от слова tuberculum, в переводе с латинского обозначающее бугорок.
Туберкулез – это инфекционное заболевание легких, вызванное микобактерией человеческого, промежуточного или бычьего вида, с развитием характерного специфического воспаления с общей реакцией организма. Туберкулезом болеют не только люди, но и животные, в частности, крупный рогатый скот, куры и свиньи.
Туберкулез легких известен с давних времен. Заболевание называлось чахоткой, что обусловлено постепенным «зачаханием» человека.
Вплоть до 20 века туберкулез легких был неизлечим, заболевшие неминуемо умирали. В настоящее время заболеваемость туберкулезом хоть и снизилась, но остается довольно высокой, поэтому говорят об эпидемии туберкулеза. Чаще туберкулезом заболевают женщины, пожилые люди и дети. Смертность от туберкулеза составляет до 2 миллионов человек в год. Статистические данные гласят о том, что треть населения планеты инфицированы микобактериями.
Причины Туберкулеза легких :
Туберкулез легких чаще всего вызван одним из трех видов микобактерий – человеческим, промежуточным или бычьим типом. Кроме указанных, существует еще около 70 типов, которые свободно живут в окружающей среде и не имеют эпидемиологического значения. Способность микобактерии вызвать заболевание обусловлено вирулентностью и патогенностью. Агрессивность микроба по отношению к организму напрямую зависит от условий окружающей среды.
Микобактерии бычьего вида имеют большее эпидемиологическое значение при алиментарном заражении, преимущественно в сельской местности. M. avium является этиологическим агентом при туберкулезе при иммунодефицит.
Клетки микобактерий не являются прокариотами, не имеют в своем составе комплекса Голджи, лизосом, плазмиды. Микроб имеет форму палочки (старое название – палочка Коха), концы бактерии заокруглены, размер достигает 1 на 10 мкм. Они не имеют жгутиков, поэтому неподвижны. Клеточная стенка микобактерии состоит из полисахаридов, что обеспечивает защиту бактерии от неблагоприятных условий, стабильность размеров клетки. Кроме того, клеточная стенка в связи с содержанием фосфолипидов является фактором вирулентности. В состав микобактерии входят особые специфические белки – туберкулопротеиды (туберкулин), которые несут на себе антигенную функцию. На этом факте основано проведение реакций повышенной чувствительности к туберкулину. Устойчивость к действию щелочей и кислот обеспечивает липидная фракция.
Патогенез:
Основным путем заражения при туберкулезе является аэрогенный, меньшее значение имеют контактный, алиментарный и трансплацентарный пути.
В норме респираторный тракт защищает от проникновения различных инфекционных агентов, в том числе микобактерий. Это становится возможным в результате продукции слизи бокаловидными клетками дыхательного эпителия и физиологическим волнообразным движениям мерцательного эпителия. При наличии заболеваний органов дыхания или воздействии токсических веществ на слизистую респираторного тракта, минуя защитные барьеры, микобактерии проникают в бронхиолы, а затем в альвеолы. При инфицировании таким путем наиболее высока вероятность заражения.
Вероятность алиментарного заражения туберкулезом зависит от состояния всасывающей функции кишечника.
Микобактерии являются внеклеточными паразитами, и поэтому их присутствие на начальном этапе заболевания никак не проявляется. Эта стадия патогенеза туберкулезной инфекции носит название «латентный микробизм». Затем патогенные микробы попадают в лимфатические сосуды, лимфоузлы и с током лимфы распространяются по всему организму. Данная стадия имеет название первичной микобактериемии. В первую очередь страдают органы с развитой микроциркуляцией – легкие, лимфоузлы, эпифизы и метафизы костей, надпочечники, половые органы). Не смотря на отсутствие какого-либо иммунитета организма при первичном инфицировании и обусловленный этим фактом резкий скачок роста микобактерий, в месте внедрения микроба начинается фагоцитоз. Полинуклеарные лейкоциты, которые первыми вступают в контакт к палочкой Коха, гибнут из-за слабого бактерицидного действия. Вторыми реагирует макрофаги, однако под воздействием факторов вирулентности макрофаги теряют свою жизнеспособностью. После этого, микобактерии выходят в межклеточное пространство, что характерно для стадии незавершенного фагоцитоза.
Клинические проявления туберкулеза проявляются при неэффективности фагоцитоза, в результате чего происходит неконтролируемый бурный рост микобактерий. Выход в межклеточное пространство большого количества протеолитических ферментов приводит к своеобразному «разжижению тканей», что способствует дальнейшему прогрессированию заболевания. Специфическим проявлением является формирование очагов казеозного некроза с дальнейшим образованием туберкулезных гранулем.
Симптомы Туберкулеза легких :
Клинические проявления при туберкулезе наступает не сразу. Даже длительно существующий туберкулезный процесс может протекать в скрытой или стертой форме, больной может не догадываться о наличии заболевания.
Неспецифическим симптомом туберкулеза является интоксикационная реакция: незначительный подъем длительно сохраняющейся температуры тела, астенические проявления, повышенная потливость по ночам, возможно похудание. В это же время отмечается увеличение лимфоузлов в виде ограниченной или генерализованной лимфоаденопатии. Затем присоединяются респираторные симптомы, больной отмечает кашель с мокротой, катаральные явления, боль в грудной клетке.
Диагностика:
Диагностика туберкулеза легких основана не только на клинических данных, но и дополнительных исследованиях: анализ мокроты, обнаружение микобактерий в мокроте и других выделяемых жидкостях организма, бактериологический, серологический и молекулярно-биологический методы. Микробиологическое исследование мокроты позволяет обнаружить в ней микобактерии, а затем и определить их чувствительность к определенным препаратам. Образцы мокроты следует поместить в специальных контейнеры, которые бывают 2-х видов: одноразовые пластмассовые пробирки либо стеклянные сосуды, которые можно использовать повторно после стерилизации. Кроме мокроты, исследованию подлежат образцы мазков из гортани, промывные воды бронхов и желудка. Забор промывных вод из бронхов требует проведения анестезии. Для процедуры используют 20 мл физиологического раствора, который вводят специальным гортанным шприцев.
Дальнейшая диагностическая программа туберкулеза легких включает бронхоскопию, исследование плевральной жидкости, биопсию плевры и легкого.
ПЦР-диагностика туберкулеза получила широкое распространение в последнее время. Метод полимеразной цепной реакции основан на идентификации ДНК микобактерии, обнаруженные в исследуемых образцах. Этот метод обладает исключительным преимуществом – результаты исследования можно узнать уже через 5-6 часов.
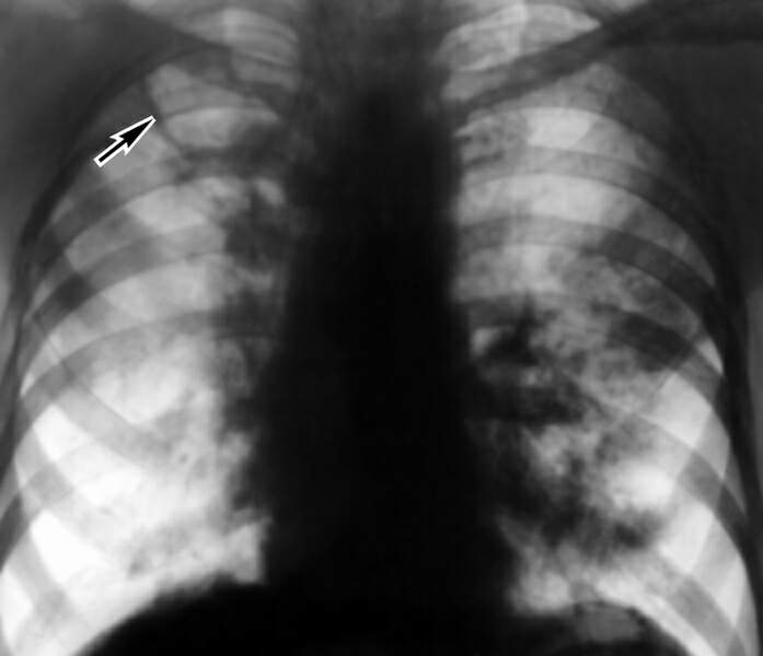
Однако наиболее доступным методом диагностики легочного туберкулеза является рентгенологическое обследование, которое возможно провести в форме рентгенографии, рентгеноскопии, томографии или флюорографии.
Первичная выявляемость тубркулеза осуществляется при помощи массовой флюорографии, проводимой в поликлиниках минимум 1 раз в год. Особую опасность представляет так называемый «декретированный контингент» - работники пищевой промышленности, медицинские сотрудники и т.д. Повышенный риск заболевания наблюдается у больных сахарным диабетом, пациенты, получающие иммунносупрессанты (глюкокортикоиды и цитостатики). При обнаружении патологических изменений в легких при флюорограмме, пациента следует отправить на дальнейшее обследование в условиях тубдиспансера. Программа массового флюорографического обследования в нашей стране позволила повысить выявляемость туберкулеза уже на ранних стадиях заболевания. Рентгенография органов грудной полости позволяет уточнить диагноз и определить локализацию и форму при наличии туберкулезного процесса. Патологические элементы могут иметь различную форму, расположение, размеры. Нередко выявляются явления пневмофиброза, бронхоэктазов и эмфиземы легких. Обнаружение кальцинированных очагов указывает на неактивный или перенесенный в анамнезе туберкулезный процесс. Уточнить данные позволит проведение томографии и МРТ.
Проба Манту (туберкулинодиагностика):
Первый туберкулин Кох приготовил путем водной вытяжки из бактерий, полученных при посеве в пробирке. В дальнейшем техника усовершенствовалась. «Старый туберкулин Коха», сокращенно обозначаемый АТК, изготавливается из культур микобактерий туберкулеза (бычий и человеческий штаммы в равном количестве), выращенной на 4% мясо-пептонном (теперь – глицериновом) бульоне.
В качестве международной единицы туберкулина принято такое его количество, которое не вызывает слишком сильные реакции, но дает положительные реакции у 80-90% инфицированных туберкулезом лиц. Международная единица – 1 ТЕ – на основе туберкулина PPD-S содержит 0,00002 мг чистого препарата, на основе ППД-Л – 0,00006 мг.
Туберкулин в стандартном разведении и указанной дозе является обязательным при массовых обследованиях. В клинической практике, кроме пробы Манту с 2 ТЕ, можно применять пробу Манту с различными дозами туберкулина и другие методы исследования чувствительности к туберкулину ППД-Л или АТК (градуированная кожная проба, подкожная проба Коха, определение туберкулинового титра, эозинофильно-туберкулиновая, гемо- и белково-туберкулиновые пробы и др.).
Туберкулиновая реакция является аллергической реакцией замедленного типа. В ее основе лежит взаимодействие туберкулопротеина (антиген) с иммунными лимфоцитами, на поверхности которых фиксированы антитела. Механизм кожной туберкулиновой реакции (реакции Манту) можно представить следующим образом. К месту введения туберкулина мигрируют лимфоциты, сенсибилизированные к туберкулину с момента инфицирования организма туберкулезом. Последние адсорбируют на своей поверхности аллерген – туберкулин. При взаимодействии лимфоцитов с туберкулином выделяются биологически активные вещества, воздействующие на сосудистую стенку и окружающие ткани. Возникает воспалительный процесс в виде папулы и гиперемии в зоне реакции.
Данные о гистологическом строении туберкулиновой папулы различны. Прежде папулу рассматривали как аналог туберкулезного очага со свойственными ему специфическими элементами. Дальнейшие исследования свидетельствуют об отсутствии признаков специфического воспаления в папуле. Лишь при резко выраженных, а также повторных реакциях на месте бывших туберкулиновых проб могут наблюдаться слабовыраженные элементы специфического воспаления.
В клиническом практике используют внутрикожную пробу с туберкулином – пробу Манту.
Пробу Манту лучше проводить на границе между верхней и средней третью или в средней трети передней поверхности предплечья. Проведенные исследования показывают, что несмотря на отсутствие достоверных различий средних размеров папул через 48ч и 72 ч после введения туберкулина, следует учитывать, что к 72 ч в большинстве случаев завершается развитие кожной реакции на туберкулин. Поэтому, если приходится ограничиваться однократным учетом результатом туберкулинодиагностики, то его следует проводить через 72 ч. Размер реакции в мм учитывают по полусумме поперечных диаметров папулы, при нечетной сумме – с превышением. Пробу признают положительной при размере папулы 5 мм и более. При сомнительной (3-4 мм) или отрицательной пробе на разведение №4 АТК или на 2 ТЕ ППД повторяют пробу с более концентрированным раствором – разведение №3, затем - №2, чередуя правое и левое предплечье. При положительной реакции на указанные концентрации может быть поставлена проба с более значительными разведениями туберкулина. Наибольшее разведение, на которое получена реакция в виде папулы не менее 5 мм (или 3 мм на разведение № 5 и №6), обозначает порог кожной чувствительности к туберкулину. Процесс его определения называется титрованием.
На практике для ускорения титрования применяют одновременную постановку проб с разведениями № 4 (на одном предплечье), №5 и №6 (на другом). Порог чувствительности на разведение №5 и выше, реакции на пробу с 1 ТЕ более 19 мм, на пробу с 2 ТЕ более 22 мм, а также реакция с везикулой, лимфангоитом, лимфаденитом характеризуют резко повышенную туберкулиновую чувствительность – гиперергию; порог чувствительности на разведение №3 и ниже характеризует гипергию. Папулы размером 5-19 мм на пробу с 1 ТЕ и 8-22 мм на пробу с 2 ТЕ оцениваются как нормергические. Следует помнить, что для массовой диагностики используются только 2 ТЕ туберкулина. При гиперергическими у детей и подростков считаются реакции с размером папулы 17 мм, у взрослых – 21 мм и выше.
Как уже отмечалось, срок 48072 часа является оптимальным для учета пробу Манту. Реакция развивается следующим образом. Через 1,5 часа после введения раствора происходит резорбция туберкулинового желвака – «лимонной корочки», к 2 часам появляется реакция кожи в виде розового пятна. С 4 ч у некоторых больных, к 8 ч – у большинства из них появляются мягковатые, водянистые папулы розового цвета. К 12 часам эти ранние папулы дозревают, достигают максимального размера. К 14 ч у части, у 16-20 ч у большинства больных происходит дифференцировка ранней папулы: в центре возникает уплотнение с более интенсивным окрашиванием, т.е. зарождается основная папула, по которой в дальнейшем оценивается проба Манту. К 24 ч почти всегда дифференцировка закончена. В центре основная папула, кожа на месте ранней папулы гиперемирована. К 48 ч у всех больных отмечается сочная папула и яркая гиперемия вокруг нее. К 72 ч папула становится компактнее. К 96 ч начинается ее сморщивание, к 120 ч инволюция уже значительно выражена. Папула, как правильно, исчезает на 5-7- сутки, пигментация – след пробы – может сохраниться до месяца и даже более в зависимости от характера бывшей реакции и индивидуальных особенностей кожи.
Повторные пробы следует проводить в других местах, ибо на месте старой пробы реакция более выражена, быстрее возникает и угасает, что затрудняет сравнимость и оценку реакции.
Реакция может возникать на месте некогда проводившихся проб при повторном введении туберкулина на новом месте. Феномен «воспламенения» реакции связывают с фиксацией тканями туберкулина в месте старых проб или иммунных комплексов в клетке. Фиксация наступает через 5-10 минут и длится в течение многих недель.
Внешние факторы и особенности внутренней среды организма влияют на результаты туберкулиновых проб. Определенное влияние на результаты туберкулинодиагностики оказывают возрастные и половые различия. Отмечена несколько большая чувствительность кожи к туберкулину у здоровых женщин, а также менее выраженная, чем у мужчин, тенденция к ослаблению реакции с возрастом. Ослабление туберкулиновых реакций у здоровых инфицированных туберкулезом контингентов по мере увеличения их возраста связывают обычно с двумя факторами: снижением роли поддерживающего антигенного воздействия суперинфекции и возрастными изменениями реактивности кожи.
Ряд авторов отмечают изменение чувствительности к туберкулину в зависимости от времени года. Имеются данные об усилении весной и уменьшении осенью.
Имеют место профессиональные факторы. Усиление реакции отмечено при длительной работе со свинцом или хромом, у рабочих фабрик, производящих синтетический каучук, у текстильщиков и химиков.
Некоторые авторы указывают на снижение интенсивности реакций в периоды менструации, беременности и родов, и ее усилении в послеродовом периоде. Угнетение туберкулиновой реакции (ложноотрицательная проба Манту) наблюдается при ряде ослабляющих организм факторов: алкоголизме, неполноценном питании, ожогах, авитаминозе С, ренгенооблучении, длительном повышении температуры тела. Установлено влияние ряда лекарственных препаратов на туберкулиновую реакцию: ее ложноположительный результат наблюдается при применении препаратов йода, пенициллина, норсульфазола. Ложноотрицательная реакция Манту возможна при применении противогистаминных препаратов, пирогенала, железо-аскорбиновой кислоты, пиридоксина, бутадиона, рутина и препаратов брома. Отмечается ослабление реакции на воспаленной коже, на участках кожи, пораженных неспецифическими заболеваниями (угри, псориаз). Снижается реакция при сухости кожи, венозной гиперемии. Облучение кожи малыми дозами рентгеновских лучей ведет к усилению туберкулиновой реакции, применение средних и больших доз – к ослаблению.
Ложноотрицательная проба Манту отмечается при применении глюкокортикостероидных препаратов, а усиление реакции – при тиреотоксикозе. Гипотиреоз способствует ослаблению реакции. Выраженные реакции отмечаются у женщин, склонных к полноте.
По данным некоторых авторов, гиперергические реакции Манту определяются в 5 раз чаще у лиц с психическими расстройствами, а отрицательные пробы – при кори.
Лечение Туберкулеза легких :
Лечение туберкулеза предполагает комплекс медикаментозного, а при не необходимости и хирургического лечения. Терапия туберкулеза, проводимая в тубстационаре санаториях, проводимая на фоне рационального и индивидуального режим ведения больного, позволяет добиться высокого эффекта. Режимные моменты включают в себя покой, лечебное питание, природную и аппаратную физиотерапию. Следует принимать во внимание форму и фазу туберкулезного процесса, наличие сопутствующих заболеваний. Существует 3 варианта двигательного режима: режим абсолютного покоя, щадящий и тренировочный варианты. Применению химиотерапии отводится ведущая роль. Применение противотуберкулезных средств обеспечивает туберкулостатический эффект, т.е. подавление размножения микобактерий, снижение их вирулентности и активности. Особенно важно применять химиотерапевтические препараты рационально, чтобы избежать перехода острого процесса в хронический, и предотвратить
Туберкулез легких является показанием для проведения специфической химиотерапии. Лечение туберкулеза предполагает комплекс медикаментозного, а при не необходимости и хирургического лечения. Терапия туберкулеза, проводимая в тубстационаре санаториях, проводимая на фоне рационального и индивидуального режим ведения больного, позволяет добиться высокого эффекта. Режимные моменты включают в себя покой, лечебное питание, природную и аппаратную физиотерапию. Следует принимать во внимание форму и фазу туберкулезного процесса, наличие сопутствующих заболеваний. Существует 3 варианта двигательного режима: режим абсолютного покоя, щадящий и тренировочный варианты.
Туберкулез легких является показанием для проведения специфической химиотерапии. Противотуберкулезные препараты делят на основные и резервную группы.
Препаратами 1-го ряда являются следующие лекарственные средства: изониазид (тубазид) и его производные (салюзид, фтивазид и другие), ПАСК и стрептомицин, а также комбинации стрептомицина с пантотеновой и аскорбиновой кислотой. Существует отдельная группа комбинированных противотуберкулезных препаратов – пасомицин и стрептосалюзид.
Противотуберкулезные препараты делят на основные и резервную группы.
Препаратами 1-го ряда являются следующие лекарственные средства: изониазид (тубазид) и его производные (салюзид, фтивазид и другие), ПАСК и стрептомицин, а также комбинации стрептомицина с пантотеновой и аскорбиновой кислотой. Существует отдельная группа комбинированных противотуберкулезных препаратов – пасомицин и стрептосалюзид.
Туберкулостатики резервного выбора – это препараты 2-го ряда. К ним относятся канамицин, этионамид, циклосерин и другие. Новые противотуберкулезные препараты, которые стали применять в последнее время, отличаются большей эффективностью (рифампицин и этамбутол).
Изониазид (тубазид) препарат-тубостатик первого ряда выбора. Длительность курса изониазидом зависит от состояния больного, его веса, переносимости данного препарата и других факторов. Суточная доза изониазида составляет 0,6 г. Пожилым пациентам, а также больным с весом менее 55 кг следует назначать минимально эффективные дозы – 0,3 г в сутки. Назначение изониазида требует комбинации с другими противотуберкулезными препаратами. Монотерапия изониазидом допустима лишь в случает поливалентной аллергии на другие тубулостатики, либо в случае долечивания после активной терапии.
Стрептомицин, как противотуберкулезный препарат, известен давно. В настоящее время используются соли стрептомицина – сульфат или хлоркальциевый комплекс. Большее распространение приобрели комплексные препараты стрептомицина – стрептодимицин, дигидрострептомицина аскорбинат и дигидрострептомицина пантотенат. Стрептомицина сульфат применяется не только при легочном туберкулезе, но и при внелегочных поражениях. Форма введения сульфата стрептомицина – внутримышечные инъекции. Доза – 1.0 г в сутки. Следует уменьшить дозу препарата до 0,5 г при малом весе или пожилом возрасте больного. Аэрозольный путь введения этого препарата следует назначать при эндобронхиальном туберкулезе, для этого 200 000 ЕД препарата растворяют в 2 мл физраствора и проводят ингаляции.
Препараты ПАСК не используют в качестве самостоятельного лечения туберкулеза легких, а применяют в комбинации со стрептомицидом или изониазидом.
Одновременное применения препаратов различных терапевтических групп способствует замедлению развития лекарственной устойчивости палочек Коха, что повышает эффективность противотуберкулезного лечения. Кроме того, при такой схеме лечения проще контролировать прием препарата. Особое значение комбинированной терапии туберкулеза имеет у недисциплинированных больных, уклоняющихся от лечения. Именно стрептосалюзид и пасомоцин являются препаратами выбора при комбинированной схеме терапии.
Пасомицин проявляет туберкулостатическое действие уже после первой инъекции. Доза для взрослых достигает 1 г в сутки. Детям препарат назначают адекватными дозами в зависимости от возраста заболевшего. Пасомицин возможно применять внутриплеврально (доза 0,25-0,5 г).
Стрептосалюзид является комбинацией стрептомицина и салюзида в соотношении 1,13 : 1. Возможны внутримышечный, ингаляционный или интрорахеобронхиальный пути введения. Стрептосалюзид не следует применять в комбинации с другими с другими противотуберкулезными препаратами, т. к сам по себе он является высокоактивным лекарственным средством.
Высокой эффективностью по отношению к человеческому типу микобактерий обладает полусинтетический антибиотик рифампицин. Рифампицин угнетает активность и жизнедеятельность микобактерий. Так как препарат выводится в основном с мочой, рифампицин можно использовать не только при туберкулезе легких, но и при его урогенитальной форме. Суточная доза рифампицина составляет 10 мг на 1 кг веса.
Куда обратиться:
Медицинские учреждения: Москва. Санкт-Петербург. Нижний Новгород. Барнаул. Новосибирск. Ростов-на-Дону. Азов. Батайск. Белая Калитва. Волгодонск. Гуково. Каменск-Шахтинский. Новочеркасск. Таганрог. Шахты. Екатеринбург. Волгоград.




