Идиопатический гемосидероз легких
Содержание:
Описание:
Болезнь характеризуется выходом крови в альвеолы, большим количеством гемосидерофагов в их просвете, гиперплазией альвеолярного эпителия, интерстициальным фиброзом и склерозом легочных сосудов. Начинается обычно в детском возрасте.
Причины Идиопатического гемосидероза легких:
Предполагают генетическую природу заболевания. Популяционная чистота неизвестна.
Симптомы Идиопатического гемосидероза легких:
Отмечаются:
- повторные респираторные заболевания, нередко диагностируемые как пневмонии, кашель, кровохарканье;
- у детей грудного возраста кашель может сопровождаться рвотой с примесью крови;
- в дальнейшем заболевание принимает характер хронического, отмечаются постоянная одышка, свистящее дыхание, быстрая утомляемость;
- рано развивается железодефицитная анемия, иногда она опережает появления симптомов со стороны органов дыхания. Примерно в 50% случаев больные умирают в течение первых 5 лет жизни, обычно от острого легочного кровотечения и нарастающей дыхательной недостаточности.
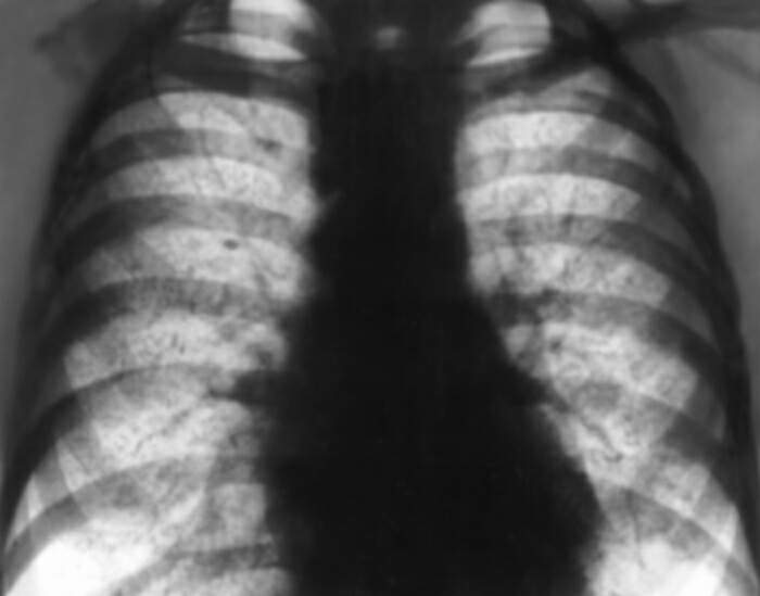
В начале болезни диагноз представляет определенные трудности. Исследование мокроты или рвотных масс обнаруживает наличие гемосидерофагов. Па рентгенограмме грудной клетки определяются небольшие инфильтраты или массивные поражения с вторичными ателектазами, эмфиземой и увеличением прикорневых лимфатических узлов. Достоверный прижизненный диагноз возможен только при открытой или пункционной биопсии легкого.
Лечение Идиопатического гемосидероза легких:
Диета с исключением из рациона коровьего молока (положительный эффект подтверждает диагноз). Кортикортероиды могут обусловить ремиссию или облечение течения болезни.
Куда обратиться:
Медицинские учреждения: Москва. Санкт-Петербург. Нижний Новгород. Архангельск. Ростов-на-Дону. Волгоград. Воронеж.



