Олигодендроглиома
Содержание:
Описание:
Олигодендроглиома представляет собой глиальную опухоль головного мозга, развивающуюся из олигодендроцитов. Может наблюдаться у пациентов в любом возрасте, однако преимущественно поражает взрослых мужчин. Олигодендроглиомы составляют около 3% от всех опухолей, локализующихся в головном мозге. Для данной опухоли характерен медленный рост с достижением в итоге больших размеров.
В основном, олигодендроглиомы локализуются вдоль стенок желудочков, прорастая в кору большого мозга. Изредка встречаются в зрительных нервах, мозжечке и стволе мозга. Злокачественное новообразование имеет бледно-розовый цвет и четко выраженные границы. Зачастую внутри опухоли образуются кисты. Для олигодендроглиом наиболее характерен экспансивно-инфильтративный рост, а также длительное (в большинстве случаев от 5 лет) симптоматическое течение болезни до постановки диагноза.
Причины олигодендроглиомы:
На текущий момент причины, приводящие к возникновению и развитию олигодендроглиомы, не установлены, однако, статистика позволяет говорить о следующих факторах риска:
Генетическая предрасположенность к развитию онкологических заболеваний;
Профессиональная деятельность, связанная с воздействием вредных веществ (химическое производство, нефтепромышленность и т. д.) либо с радиационным облучением;
Неблагоприятные условия внешней среды;
Поражение онкогенными вирусами.
Симптомы олигодендроглиомы:
Олигодендроглиома характеризуется длительным симптоматическим течением опухоли до установки конкретного диагноза. Клинические проявления данной патологии являются результатом повышенного давления внутричерепной жидкости. Основными симптомами являются эпилептические припадки и головные боли. Помимо этого при поражении данным заболеванием имеют место:
Тошнота;
Повышенная раздражительность;
Рвота;
Нарушения зрения.
Классификация:
Выделяют три вида олигодендроглиом:
Олигодендроглиома. Глиальная опухоль II степени злокачественности;
Анапластическая олигодендроглиома. III степень злокачественности;
Смешанная олигоастроцитома. III степень злокачественности, с течением времени перерождается в глиобластому.
Диагностика:
Диагностика олигодендроглиомы во всех случаях начинается с базового неврологического обследования, которое включает в себя:
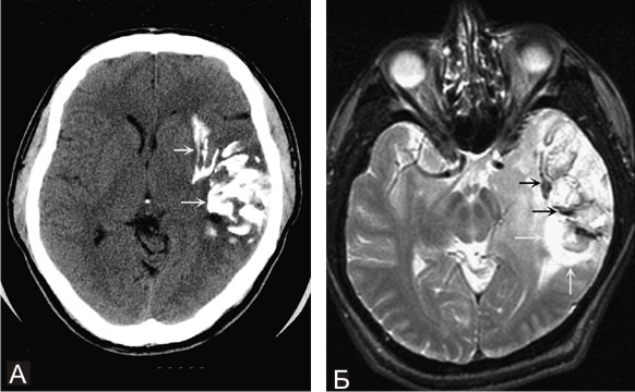
Магнитно-резонансную томографию (МРТ);
Компьютерную томографию (КТ);
Позитронно-эмиссионную томографию;
Электроэнцефалограмму;
Тестирование слуха;
Тестирование реакций зрачка и движения глаз;
Тесты на равновесие и координацию;
Проверка обоняния различными запахами;
Рефлекторные тесты;
Тест психического статуса;
Проверка памяти;
Тест на абстрактное мышление.
В случае необходимости назначаются дополнительные исследования.
Лечение олигодендроглиомы:
Первым этапом лечения олигодендроглиомы принято максимальное хирургическое иссечение патологического новообразования с максимально возможным сохранением здоровых тканей мозга. После проведения оперативного вмешательства рекомендовано проведение курса лучевой терапии по схеме, аналогичной методам, применяющимся при лечении глиобластом или анапластических астроцитом. Несмотря на то, что строгой связи между злокачественностью опухоли и гистологическими данными анаплазии не обнаружено, большинство нейроонкологов склоняются к проведению комбинированной химиотерапии винкристином и прокарбазином с целью лечения больных, пораженных анапластическими олигодендроглиомами.
Пациентам с неанапластическими олигодендроглиомами курс химиотерапии, как правило, назначают исключительно в случаях рецидива опухоли. КТ или МРТ следует проводить перед началом курса, а также каждые 6-8 недель для больных с анапластическими опухолями и каждые 3 месяца пациентами с неанапластическими опухолями в первый год заболевания. При отсутствии признаков рецидива в последующее время МРТ проводится раз в 6 месяцев.

