Легионеллез
Содержание:
Описание:
Легионеллёз («болезнь легионеров»; др. названия — питтсбургская пневмония, понтиакская лихорадка, легионелла-инфекция, лихорадка форта Брэгг) — сапронозное острое инфекционное заболевание, обусловленное различными видами микроорганизмов, относящихся к роду Legionella. Заболевание протекает, как правило, с выраженной лихорадкой, общей интоксикацией, поражением легких, центральной нервной системы, органов пищеварения, возможно развитие синдрома полиорганной недостаточности.
Симптомы:
Инкубационный период. При различных клинических формах заболевания варьирует от 2 до 10 дней, в среднем составляя 4-7 сут.
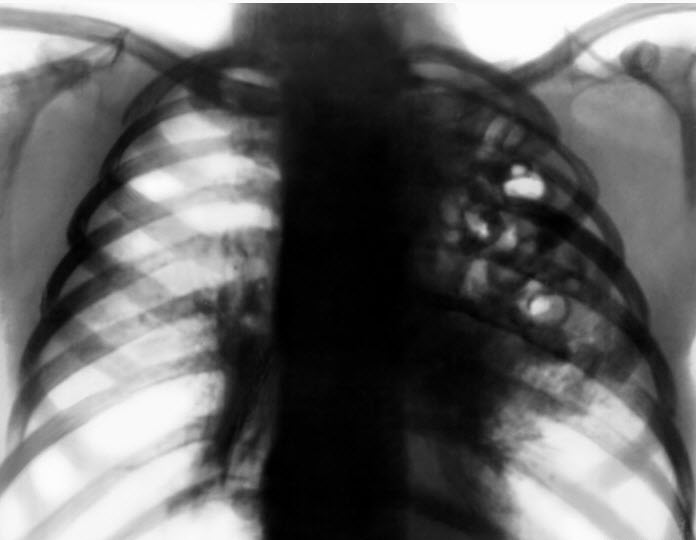
Наиболее часто клинически легионеллёз диагностируют как тяжёлые пневмонии (собственно «болезнь легионеров»). В первые дни заболевания у части больных можно наблюдать продромальные явления в виде головной боли, слабости, снижения аппетита, возможно развитие диареи. При остром начале болезни быстро повышается температура до 39-40 °С, нарастают признаки тяжёлой интоксикации. Больные жалуются на озноб, головную боль, боли в мышцах и суставах, выраженную потливость. Развиваются общая слабость, адинамия. Появляются признаки токсического поражения ЦНС: эмоциональная лабильность, заторможенность, обмороки, галлюцинации, потеря сознания и бред. Иногда наблюдают атаксию, дизартрию, нистагм, паралич глазодвигательных мышц. К середине недели возникает кашель, сначала сухой, затем со скудной слизисто-гнойной, а у части больных с кровянистой мокротой. Развиваются одышка, сильные боли в груди, особенно при сопутствующем фибринозном плеврите. В лёгких выявляют притупление перкуторного звука, участки ослабленного дыхания, большое количество сухих и влажных мелкопузырчатых хрипов. Почти у половины больных выслушивают шум трения плевры. На рентгенограмме определяют очаговые инфильтраты разнообразной локализации; впоследствии они сливаются и образуют обширные очаги затемнения по типу долевой, а довольно часто односторонней субтотальной и даже тотальной пневмонии.
Течение пневмонии бурное, трудно поддающееся терапии. Заболевание могут осложнить развитие абсцессов, экссудативных плевритов, инфекционно-токсического шока. Часто несмотря на проводимое лечение прогрессирует дыхательная и сердечно-сосудистая недостаточность, требующая перевода больных на ИВЛ.
Поражения сердечно-сосудистой системы проявляются гипотонией, относительной брадикардией, сменяющейся тахикардией. Довольно часто (около 30% случаев) возникают продолжительная диарея с болями в животе и урчанием кишечника, гепатиты с желтухой и изменениями биохимических показателей крови. Возможны нарушения функции почек вплоть до почечной недостаточности, сохраняющейся впоследствии месяцами. При выздоровлении астенический синдром (слабость, головокружение, снижение памяти, раздражительность), рентгенологически определяемые инфильтраты в лёгких и плевральные изменения сохраняются в течение многих недель.
Острый альвеолит. Характерно появление с первых дней болезни сухого кашля на фоне высокой лихорадки и других проявлений интоксикации (головная боль, миалгии и т.д.). В дальнейшем кашель становится влажным с отхождением слизистой или слизисто-гнойной мокроты, нарастает одышка. В лёгких при аускультации с обеих сторон выслушивают обильную диффузную, длительно сохраняющуюся крепитацию. Процесс проходит с пропотеванием в альвеолы эритроцитов, фибрина, отёком альвеолярных перегородок. В некоторых случаях заболевание приобретает затяжное прогрессирующее течение с развитием фиброза.
Острое респираторное заболевание (лихорадка Понтиак). Легионеллёзная инфекция, протекающая без лёгочных поражений. На фоне температуры, быстро повышающейся до -40 °С, появляются озноб, головная боль, диффузные миалгии. Развивается респираторный синдром в виде ринитов, трахеобронхитов и бронхитов; нередко он сочетается с болями в животе и рвотой. Часто выявляют неврологические нарушения: головокружение, бессонницу, расстройства сознания и координации различной степени. Течение болезни благоприятное, длительность основных клинических проявлений составляет в среднем несколько дней; остаточный астеновегетативный синдром сохраняется значительно дольше.
Острое лихорадочное заболевание с экзантемой (лихорадка Форта Брэгг) . Более редкая форма легионеллёза. На фоне умеренных общетоксических и респираторных явлений (чаще в виде бронхита) возникает экзантема крупнопятнистого, кореподобного, скарлатиноподобного или петехиального характера. Элементы сыпи не имеют определённой характерной локализации, после их исчезновения шелушение кожи, как правило, не наблюдают.
В значительно более редких случаях заболевание может протекать в других формах: от субклинической до тяжёлых генерализованных форм с полиорганными поражениями и сепсиса.
Осложнения
Наиболее грозное осложнение - инфекционно-токсический шок, возникающий при легионеллёзной пневмонии. По данным ВОЗ, в этих случаях частота летальных исходов заболевания достигает 20%.
Причины возникновения:
Возбудители - грамотрицательные аэробные подвижные бактерии рода Legionella семейства Legionellaceae. В настоящее время известно более 40 видов легионелл; для человека патогенно 22 вида. Наиболее частый возбудитель (более 90%) - L. pneumophila. Выделяют 18 сероваров бактерий; чаще всего заболевания вызывают бактерии 1 серовара. L. pneumophila культивируют на клеточных средах (куриные эмбрионы, морские свинки). Для роста на искусственных питательных средах бактерии нуждаются в цистеине и железе. Факторы патогенности легионелл включают липополисахаридный комплекс (эндотоксин) и сильнодействующий экзотоксин. Возбудитель устойчив во внешней среде: в жидкой среде при температуре 25 °С может сохраняться 112 дней, при 4 °С - 150 сут. Под действием 1% раствора формалина, 70° этилового спирта, 0,002% раствора фенола погибает за 1 мин, в 3% растворе хлорамина - в течение 10 мин. Колонизируя соединительные узлы, резиновые прокладки резервуаров для воды, бактерии интенсивно размножаются в них.
Эпидемиология
Резервуар и источники инфекции. Местом естественного обитания легионелл являются пресноводные водоёмы и почва. Наиболее часто легионеллы выделяют из воды стоячих водоёмов, где они обитают в ассоциациях с фотосинтезирующими сине-зелёными водорослями и водными амёбами. Тёплые места обитания, благоприятные для размножения водорослей, являются экологической нишей для L. pneumophila. При 35-40 °С легионеллы интенсивно размножаются в простейших, например амёбах, защищающих бактерии от воздействия высоких концентраций хлора и других дезинфицирующих средств. Высокие адаптивные способности легионелл позволяют им успешно колонизовать системы охлаждения, градирни, компрессорные устройства, душевые установки, плавательные бассейны, декоративные фонтаны, ванные комнаты для бальнеологических процедур, оборудование для респираторной терапии и др. В искусственных сооружениях условия для выживания легионелл могут быть более благоприятными, чем в естественных. Человек не является источником возбудителя инфекции. Даже при тесном общении с больным случаи заражения окружающих не зарегистрированы. Не установлено также выделение возбудителя от каких-либо животных, птиц или членистоногих.
Механизм передачи - аэрозольный, заражение происходит чаще всего при вдыхании водного аэрозоля. Большинство вспышек связано с водными системами охлаждения, технологическими циклами, при функционировании которых образуется мелкодисперсный аэрозоль, содержащий бактерии. Возможен и воздушно-пылевой (почвенный) путь заражения при строительных и земляных работах. Накопившийся в почве, кондиционерах и головках душевых установок возбудитель вдыхается в виде водного или пылевого аэрозоля. В условиях лечебно-профилактических учреждений возможен артифициальный способ заражения, связанный с лечебными процедурами: вихревыми ваннами, терапией ультразвуковыми дезинтеграторами, интубацией и др.
Естественная восприимчивость высокая. Заболеванию способствуют употребление алкоголя, курение, эндокринные нарушения, хронические заболевания лёгких, иммунодефициты. Длительность постинфекционного иммунитета не известна, однако рецидивы болезни не зарегистрированы.
Основные эпидемиологические признаки. Легионеллёз распространён повсеместно; заболеваемость выше в экономически развитых странах. Чаще возникает среди проживающих в гостиницах, медицинских работников и больных гериатрических и психиатрических стационаров. Показана возможность заражения лиц из групп риска при респираторной терапии или алиментарным путём (через питьевую воду). Вспышки среди населения возникают чаще в летне-осенние месяцы.
Особое значение в последние годы придаётся проблеме «travel-associated» легионеллёза, возникающего во время туристических и деловых поездок и диагностируемого, как правило, по возвращении из них. Более 30% случаев спорадического легионеллёза, многочисленные эпидемические случаи в гостиницах, частое летальными исходами, послужили основой для создания единой международной системы эпидемиологического контроля за случаями легионеллёза, связанного с поездками.
Случаи заболеваний, связанные с нозокомиальными вспышками, отмечают в течение всего года. Болеют преимущественно лица пожилого возраста, причём мужчины в 2-3 раза чаще, чем женщины. Известны внутрибольничные вспышки легионеллёза. Удельный вес пневмоний, вызванных легионеллами, составляет 0,5-5%, в то время как острое респираторное заболевание легионеллёзной природы (лихорадка Понтиак) возникает у 95% от общего числа лиц, подвергшихся заражению.
Лечение:
Основа этиотропной терапии легионеллёза - применение макролидов. В частности, эритромицин назначают внутрь в дозе 2-4 г/сут, в тяжёлых случаях вводят внутривенно капельно (эритромицин фосфат по 1 г/сут, максимально до 2-3 г/сут). При отсутствии или малой выраженности клинического эффекта антибиотикотерапию дополняют назначением рифампицина в дозе 0,6-1,2 г/сут. Курс лечения составляет 2-3 нед. Хороший клинический эффект также даёт назначение фторхинолонов (пефлоксацин).
Патогенетическое лечение, направленное на борьбу с интоксикацией, кровотечениями, развитием дыхательной и почечной недостаточности, шоковыми состояниями, проводят по общепринятым правилам. Необходима оксигенотерапия, довольно часто применяют ИВЛ.

