Гемоторакс
Содержание:
Описание:
Гемоторакс (от др.-греч. αἷμα — кровь и θώραξ — грудь) — скопление крови в плевральной полости. Является следствием кровотечения из сосудов лёгких, внутригрудных ветвей крупных сосудов (аорта, полые вены), грудной стенки, средостения, сердца или диафрагмы. Чаще всего гемотораксы возникают после травмы грудной клетки или как осложнение лечения.
Симптомы:
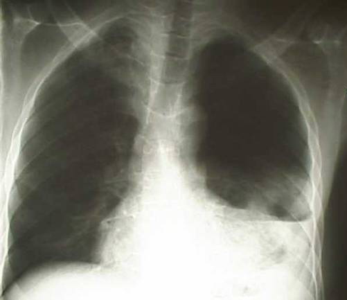
Клиника зависит от интенсивности внутреннего кровотечения, сдавления или смещения легких и средостения. Прикорневые и глубокие разрывы легкого сопровождаются массивным кровотечением, поверхностные повреждения – незначительным. Малый гемоторакс до 200 мл. в большинстве случаев клинически не распознается. Симптоматика сводится к болям в области повреждения и некоторому ограничению дыхательных движений. В дальнейшем обычно рассасывается с формированием плевральных сращений. При среднем гемотораксе отмечаются кашель, одышка, боли в груди, бледность, отставание в акте дыхания грудной клетки с пораженной стороны, ослабление дыхания и притупление перкуторного звука. Лучевая диагностика выявляет затемнение на уровне угла лопатки, иногда с горизонтальным уровнем. В тяжелых случаях на первый план выступают симптомы массивного внутриплеврального кровотечения: слабость, бледность кожных покровов и слизистых, тахикардия, одышка, падение артериального давления, Что затушевывает картину основного повреждения. Отмечается беспокойство, боли в груди, , цианоз кожи, выбухание межреберных промежутков, кашель, иногда с кровью, затруднение дыхания, притупление перкуторного звука, заметное отставание в акте дыхания грудной клетки, перкуторно определяется тупой звук, дыхание не прослушивается. Степень анемии зависит от величины кровопотери. Пострадавшие с ранениями груди даже без объективных признаков проникающего характера ранения осматриваются в положении сидя и должны быть госпитализированы.
Причины возникновения:
По этиологии гемоторакс бывает:
1. травматический (при проникающих ранениях или закрытой травме грудной клетки);
2. патологический (следствие различных заболеваний);
3. ятрогенный (осложнение операций, плевральных пункций, катетеризации центральных вен и т. п.).
Лечение:
Лечение. Пострадавшие с гемотораксом должны немедленно направляться в стационар для выполнения плевральной пункции. Пункция плевральной полости при гемотораксе производится в 6-7 межреберье между средне- и заднеподмышечной линиями (в положении сидя) или ближе к задней подмышечной линии (в положении лежа) при строгом соблюдении правил асептики. Кровь из плевральной полости полностью удаляется и вводятся антибиотики широкого спектра действия. Большие возможности современных многопрофильных лечебных учреждений предопределяют использование четких диагностических и тактических программ. Решение вопросов выбора тактики зависит от конкретных условий оказания квалифицированной помощи. Общее лечение: гемостатическая, дезагрегантная, иммунокорригирующая, симптоматическая терапия, общая и местная антибиотикотерапия для профилактики и лечения инфицирования, введение фибринолитических препаратов для профилактики и лечения свернувшегося гемоторакса.
Показание к хирургическому лечению – продолжающееся кровотечение, повторное накопление крови после аспирации, выделение крови через дренаж в объеме более 500 мл за 2-3 часа, свернувшийся большой гемоторакс, препятствующий расправлению легкого, повреждение жизненно важных органов. Предпочтительнее начинать с видеоторакоскопических вмешательств как безопасному методу диагностики и лечения при торакальной травме. Показания к торакоскопии: ранение легкого, осложненное гемо- и пневмотораксом, подозрение на ранение перикарда, сердца, сосудов грудной стенки, а также торакоабдоминальные ранения. При низких локализациях ран груди слева с целью выявления состояния диафрагмы рекомендуется обязательное использование торакоскопии.
Показаниями к торакотомии являются: ранение сердца, подозрение на ранение сердца или крупного сосуда, повреждение крупных бронхов или пищевода, продолжающееся внутриплевральное кровотечение, напряженный пневмоторакс, не устранимый пункциями и дренированием, ранение грудного лимфатического протока, инородные тела плевральной полости. Диагноз свернувшегося гемоторакса устанавливается благодаря клинике (одышка, боль, лихорадка) и типичной рентгенологической картины (наличие гомогенного и интенсивного затемнения на стороне поражения нижних отделов легочного поля или негомогенное затемнение с уровнями жидкости). Торакотомия и удаление свернувшегося гемоторакса, выполненные в первые 5 суток, предупреждают развитие эмпиемы плевры, способствуют наиболее адекватному восстановлению функциональных способностей легких.

