Альвеолярный протеиноз легких
Содержание:
Описание:
Альвеолярный протеиноз легких - редкое заболевание, характеризующееся накоплением в альвеолах и бронхиолах белково-липоидного вещества. Болеют преимущественно мужчины (в 3-4 раза чаще женщин) в возрасте 30-35 лет. Однако болезнь встречается также у детей и пожилых.
Патогенез:
Патогенез альвеолярного протеиноза легких до настоящего времени не выяснены. Предположения о вирусной природе заболевания, роли других микроорганизмов не имеют достаточных доказательств. Высказывается ряд гипотез, объясняющих механизм накопления белково-липоидной массы в альвеолах, альвеолярных ходах, бронхиолах гиперпродукцией внутри- альвеолярного вещества вследствие нарушения экзокринной функции альвеолоцитов; недостаточной эвакуацией внутриальвеолярного вещества вследствие снижения функциональной активности альвеолярных макрофагов; гиперпродукцией сурфактанта; генетическими нарушениями легочного метаболизма («болезнь накопления»); профессиональными вредностями. В последнее время большинство авторов связывают причину нарушений альвеолярного клиренса со снижением функциональной активности альвеолярных макрофагов.
Патологическая анатомия. Макроскопически на поверхности легких определяются серовато-белые плотные бугорки в виде зерен. При микроскопическом исследовании выявляется ШИК- положительное вещество (протеогликаны, гликопротеины, гликолипиды окрашиваются реактивом Шиффа в пурпурно- или лилово-красный цвет), заполняющее альвеолы и бронхиолы. Обнаруживаются двоякопреломляющие кристаллы. Признаков воспаления нет.
Симптомы альвеолярного протеиноза легких:
Нередко основной причиной обращения больного к врачу является медленно, но неуклонно прогрессирующая одышка, которая может сопровождаться кашлем со скудной, желтоватой мокротой, иногда кровохарканьем, субфебрильной температурой тела, болями в грудной клетке, цианозом (в зависимости от степени дыхательной недостаточности), потливостью, похуданием, быстрой утомляемостью.
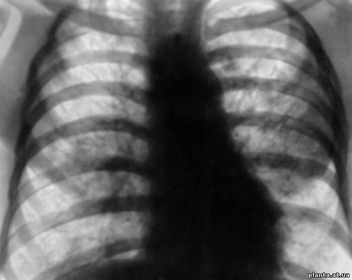
При объективном исследовании определяется укорочение перкуторного тона, преимущественно в нижних отделах легких. При аускультации - ослабленное везикулярное дыхание, реже - нежные крепитирующие хрипы. Клинический и биохимический анализы не содержат каких-либо признаков, характерных для альвеолярного протеиноза легких. У некоторых больных в крови определяется повышение уровня холестерина, кальция. При рентгенологическом исследовании легких выявляются мелкоочаговые тени, сливающиеся друг с другом, с преимущественно базальной и прикорневой локализацией. Эти изменения, как правило, двусторонние. Бронхоскопия малоинформативна. Диффузионная способность легких снижается, медленно прогрессируют рестриктивные нарушения вентиляции, при физической нагрузке выявляется гипоксемия.
По течению выделяют острую и хроническую формы альвеолярного протеииоза легких. В терминальных стадиях формируется легочное сердце.
Диагностика:
Достоверный диагноз может быть установлен только с помощью биопсии легких. Дифференцировать это заболевание следует с другими диссеминированными процессами в легких.
Лечение альвеолярного протеиноза легких:
Кортикостероиды и иммуносупрессанты неэффективны. В 1964 г. впервые был применен лаваж легких у четырех больных альвеолярным протеинозом. Больного, подвергающегося лаважу легких, интубируют. Под общим обезболиванием одно легкое вентилируется чистым кислородом; а второе легкое (доля, сегмент) промывается физиологическим раствором, содержащим гепарин и ферменты (N-ацетилцистеин, стрептаза и др.). Общий объем жидкости в зависимости от промываемого участка (сегмент, доля, легкое) составляет от 1 до 20 л. Как правило, после эффективно проведенного лаважа отмечается положительная клиническая, рентгенологическая и функциональная динамика. В зависимости от скорости прогрессирования болезни лаваж легких повторяют через 6-24 мес.
Прогноз. Прн прогрессировании процесса (острые формы) 80 % больных умирают в течение 5 лет. Прогноз значительно более благоприятен при хронических (доброкачественных) формах, своевременной диагностике, адекватном лечении и рациональном трудоустройстве. Присоединение бактериальной, вирусной или грибковой суперинфекции значительно ухудшает прогноз.

